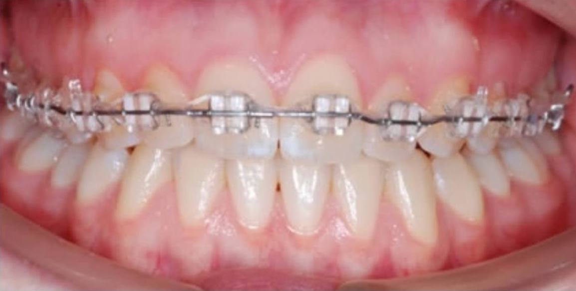
Гипотетически, можно, но не рекомендуется.
❓Почему? Спросили мы у Евгения Владиславовича Алексеева врача- ортодонта Стоматологии Белозубофф Пермь
🦷Лечение только одной челюсти может не привести к желаемому результату. Обе челюсти находятся в постоянном контакте друг с другом, поэтому возможно неравномерное распределение нагрузки.
Как итог — дальнейшее нарушение прикуса.
❗️Но иногда лечение одной челюсти допускается. Такое решение принимает только врач!
Публикации
- Аппарат Марко Роса 12 декабря 2025
- Зимние прогулки всегда приносят огромную радость не только детям, но и взрослым. Но и в зимнее время следует не забывать о безопасности! 10 декабря 2025
- Что делать если у ребенка передние верхние зубы в 7 лет растут не рядом, а на расстоянии? Помню, что мне их связывали ниткой, чтобы были вместе. Так можно делать? 04 декабря 2025
- Что лучше ? Имплант или мостовидный протез? 04 декабря 2025
- Зачем врач стоматолог не просто ставит пломбу, а восстанавливает полную анатомическую форму зуба? 06 декабря 2025


