Наш ортодонт Евгений Владиславович Алексеев использует в своей работе не только стандартные общепринятые методики, но и самые современные, такие как аппарат Марко Роса
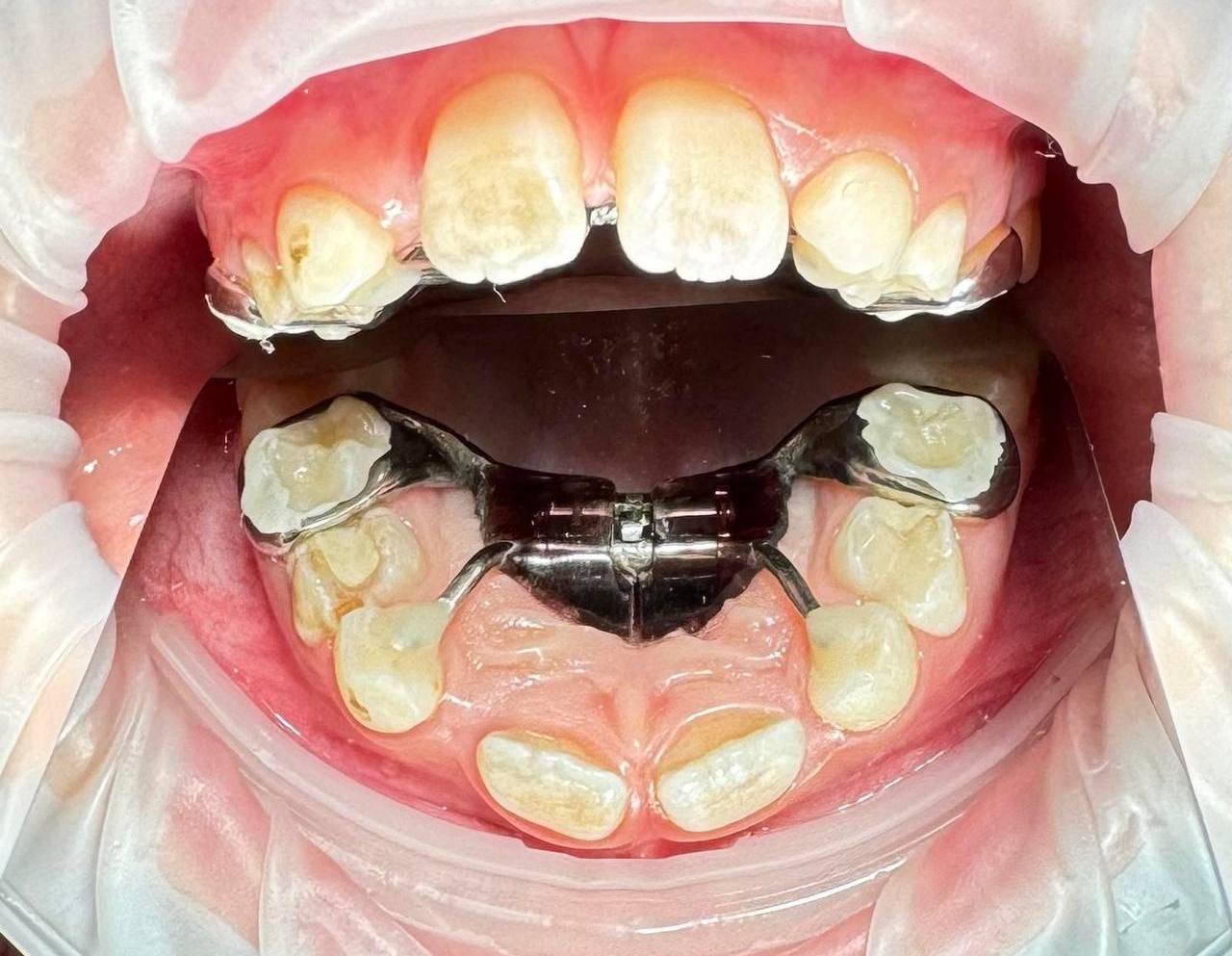
💪🦷Как работает аппарат Марко Роса?
Главная задача аппарата — расширение верхней челюсти. Оно происходит посредством активации винта в центре конструкции. Поворот винта раздвигает пластмассовый базис, который в свою очередь оказывает давление на зубной ряд.
В каких случаях назначается аппарат Марко Роса?
💪🦷Аппарат наиболее эффективен в раннем сменном прикусе – от 6 до 9 лет, и назначается в клинических ситуациях, для решения которых необходимо расширение и нормализация формы верхнего зубного ряда:
💪🦷Скученность зубов;
💪🦷Дефицит места для прорезывания постоянных зубов;
💪🦷Сужение или укорочение верхнего зубного ряда;
💪🦷Недостаточное развитие верхней челюсти;
💪🦷Перекрестный, дистальный или мезиальный прикус.
Только правильные и современные решения — Стоматология Белозубофф Пермь
Публикации
- Для имплантации нужно два врача? 16 декабря 2025
- Почему иногда зубы мудрости удаляют не в поликлинике, а в стационаре ? 04 декабря 2025
- Скрежет зубами мешает спать вам и вашим близким? С утра вы чувствуете усталость в мышцах лица? 13 декабря 2025
- Полезен ли чай для здоровья зубов? 09 декабря 2025
- Аппарат Марко Роса 12 декабря 2025


