Отвечает врач стоматолог-терапевт София Юрьевна Мочалова
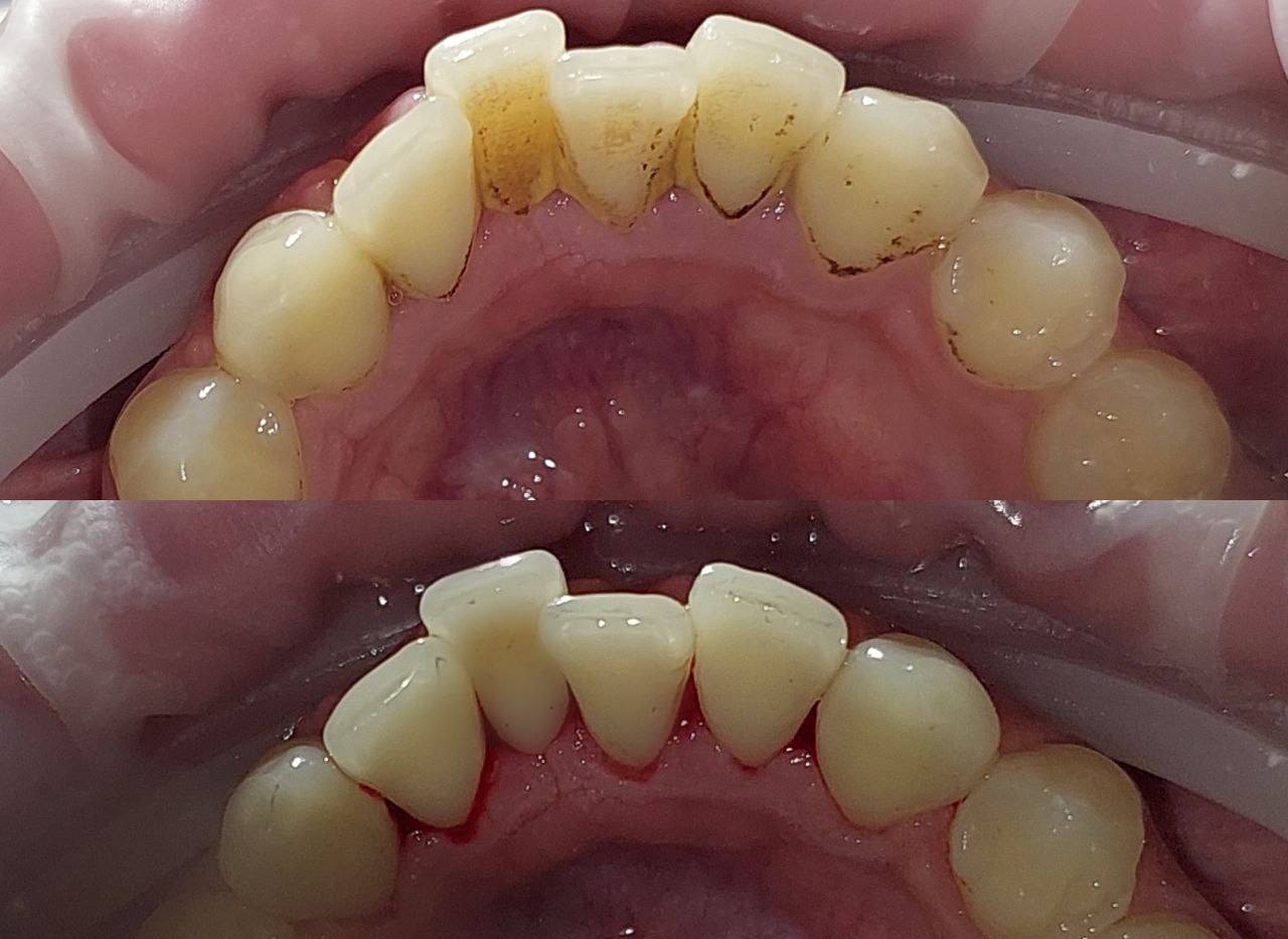
🦷Зубной налет — это липкая мягкая пленка, состоящая в основном из бактерий и продуктов их жизнедеятельности, смешанных с остатками пищи, белками из слюны, отмершими клетками слизистой оболочки, лейкоцитами и полисахаридами, формирующаяся на эмали зубов. Если его вовремя не удалять, он минерализуется и превращается в твердый зубной камень.
🦷Основные компоненты зубного налета:
🦠Микроорганизмы: Бактерии (стрептококки и другие) составляют 50-70% объема налета.
🦷Органические вещества: Белки, липиды, полисахариды из слюны, остатки пищи.
🦷Клетки: Отмершие клетки слизистой оболочки рта.
🦷Минеральные соли: Соли кальция, фосфора, железа (особенно при минерализации).
🦷Компоненты слюны: Иммуноглобулины, ферменты.
❓Как он образуется:
Сразу после чистки на зубах появляется тонкая защитная пленка (пелликула).
К ней прикрепляются бактерии, которые питаются углеводами из пищи.
Бактерии образуют липкий матрикс (биопленку), к которому присоединяются новые бактерии, остатки пищи, клетки и белки слюны, формируя мягкий налет.
Со временем налет затвердевает из-за минерализации солями слюны, превращаясь в зубной камень.
Будьте здоровы!
Публикации
- Почему иногда зубы мудрости удаляют не в поликлинике, а в стационаре ? 04 декабря 2025
- Можно поставить брекеты только на 1 челюсть? 04 декабря 2025
- Памятка по уходу за съёмными протезами 17 декабря 2025
- О чем может говорить налет на языке? 04 декабря 2025
- Зачем врач стоматолог не просто ставит пломбу, а восстанавливает полную анатомическую форму зуба? 06 декабря 2025


