🦷Наверное, на свете нет человека, который не мечтал бы о здоровых, крепких, красивых зубах.
🦷И знаете, на самом деле воплотить эту мечту в жизнь реально. Всё намного проще, чем кажется.
🦷Главное – прислушаться к советам профессионалов, осознать, что предотвратить проще, чем лечить, и всегда помнить: здоровье зубов начинается у вас дома!
🦷Зубы – это не просто какая-то незначительная часть нашего тела, которая так и норовит доставить нам неприятности. Современные ученые установили, что здоровье организма в целом невозможно без здоровых зубов и дёсен.
🦷Помогут вам достичь желаемого самые простые вещи: качественная зубная щетка, полоскание, правильная диета, витамины и внимательное отношение к собственному здоровью
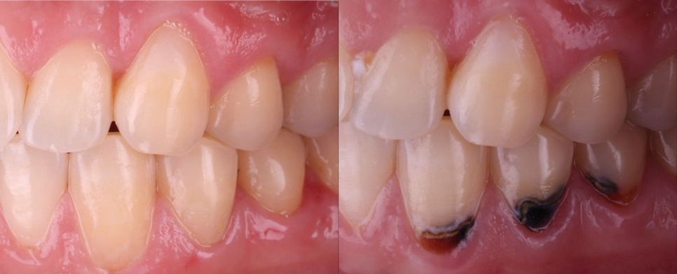
🦷А если кариес все-таки возник , то необходимо не затягивать с лечением !
Публикации
- Аппарат Марко Роса 12 декабря 2025
- Политика в отношении обработки персональных данных 11 февраля 2026
- Полезен ли чай для здоровья зубов? 09 декабря 2025
- С чисткой зубов все понятно. А так ли важно чистить язык? 11 декабря 2025
- Что делать если у ребенка передние верхние зубы в 7 лет растут не рядом, а на расстоянии? Помню, что мне их связывали ниткой, чтобы были вместе. Так можно делать? 04 декабря 2025


