💡Опасности, подстерегающие зимой:
👉Сосульки. Обратите внимание на снег и сосульки, свешивающиеся с крыш домов. Помните, такие места надо обходить стороной.
👉Сугробы. Под свежевыпавшим снегом может быть что угодно: мусор, проволока или другие опасные предметы. Играть в сугробах, которые находятся под окнами домов или около подъезда, нельзя. Опасно прыгать в сугроб с высоты.
👉 Гололёд.Многие не замечают льда, скрытого под снегом, что приводит к падению и получению разных травм. Самыми опасными местами являются тротуарная плитка и ступеньки подъездов. Так же опасным местом считается общественный транспорт (при входе и выходе из него).
Безопасность при катании на санках и при катании на горках:
👉Высаживайте ребенка из санок, если вам надо перейти дорогу.
👉Не разрешайте ребенку прыгать с трамплинов на санках-это опасно.
👉На горках надо вести себя внимательно и аккуратно, обязательно соблюдать очередь при спуске и не кататься с горки стоя.
👉Исключите те горки, которые находятся рядом с дорогой или водоемом.
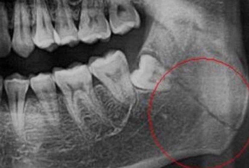
Травмы , могут нанести общий непоправимый вред здоровью
И нам, как стоматологам, в зимнее время часто встречаются травмы зубов и челюстей разной сложности 😣🦷
Берегите себя и своих детишек!
Всегда с вами стоматология Белозубофф Пермь
Публикации
- Что лучше ? Имплант или мостовидный протез? 04 декабря 2025
- О чем может говорить налет на языке? 04 декабря 2025
- Почему иногда зубы мудрости удаляют не в поликлинике, а в стационаре ? 04 декабря 2025
- Можно поставить брекеты только на 1 челюсть? 04 декабря 2025
- Зимние прогулки всегда приносят огромную радость не только детям, но и взрослым. Но и в зимнее время следует не забывать о безопасности! 10 декабря 2025


